IF=11.6 敲除TabZIP45-4B基因,提升小麦低氮产量

【PBT】番茄SIERF.F4转录因子增强果实抗灰霉菌能力且不影响成熟品质
2026 年 3 月 13 日
2026国自然申报今日截止,请确认提交状态
2026 年 3 月 20 日

氮肥是作物增产的关键,但过量使用不仅增加成本,还带来环境问题。据统计,全球每年因氮肥过量使用造成的隐性成本超过1万亿美元。在低氮条件下,小麦的分蘖和穗数显著减少,严重影响产量。虽然已有一些氮响应基因被发现,但其调控网络仍不清晰。发表在《Plant Communications》上的一篇文章“A rare allele of TabZIP45-4B enhances wheat adaptation to low nitrogen growth conditions”填补了该领域的研究空白。

本研究从一个稀有等位基因入手,揭示了TabZIP45-4B如何帮助小麦在低氮环境下保持产量,为绿色可持续农业提供了新思路。

实验方法与思路

本研究采用了一套系统的遗传学与分子生物学方法:

  1. 群体构建:利用两个小麦品种(小偃54和京411)构建回交群体,筛选出对低氮响应的差异株系。
  2. 基因定位:通过BSA(群体分离分析)结合高通量测序,锁定了一个关键位点——pnd1。
  3. 精细定位:开发高分辨率SNP检测方法,将目标区域缩小至393 kb,最终锁定候选基因TabZIP45-4B。
  4. 功能验证:

利用CRISPR-Cas9技术敲除该基因,构建Tabzip45-bb突变体;

同时构建过表达(OE)株系;

进行田间低氮试验,观察产量相关性状。

  1. 调控机制研究:结合ChIP-seq和RNA-seq,发现TabZIP45-4B直接调控TaDWARF4 基因,进而影响油菜素内酯(BR)代谢,调控穗数和分蘖。

 

主要研究结果

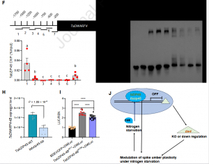
本研究从氮利用效率差异的小麦品种小偃54和京411中,在4B染色体上定位并鉴定到低氮感知位点pnd1对应的稀有等位基因TabZIP45-4Bpnd1,该基因编码区存在G-T SNP突变,导致DOG结构域中甘氨酸向缬氨酸的氨基酸替换(图1A-B);通过CRISPR-Cas9构建敲除突变体和过表达株系验证发现,TabZIP45-4B作为小麦氮响应的核心核定位同源基因,负调控低氮条件下小麦的穗数、每穗粒数和单株产量,敲除突变体相关农艺性状显著提升,过表达株系则显著降低(图 1C-E);借助ChIP-seq、EMSA、双荧光素酶报告实验等进一步解析,明确TabZIP45-4B可直接结合并转录激活油菜素内酯代谢关键基因TaDWARF4的启动子,而TaDWARF4同样负调控低氮下小麦穗数和产量,TabZIP45-4B通过调控该靶基因及下游BR代谢通路,促进小麦分蘖芽发育和根生长,实现低氮环境的适应性提升(图 1F-I);将该稀有等位基因渗入主栽小麦品种济麦22后,低氮条件下渗入系的穗数、每穗粒数和单株产量显著提高且株高无异常;最终本研究构建出TabZIP45-4B-TaDWARF4-BR的核心调控模块,明确了该模块调控小麦低氮胁迫下穗数生长可塑性的分子机制(图 1J)。

研究意义

科学意义:揭示了TabZIP45-4B-TaDWARF4 模块在低氮条件下调控小麦穗数和产量的分子机制。

育种价值:该稀有等位基因在小偃54中被发现,导入现代品种(如济麦22)后,显著提高了低氮条件下的产量和穗数,具有巨大的育种应用潜力。

技术突破:研究还开发了高效SNP筛选技术,可快速追踪该基因在不同品种中的分布,为精准育种提供工具。

 

本研究是作物遗传转化技术在小麦分子育种中应用的经典案例,其研究思路、技术手段和基因资源可直接迁移至大豆、玉米、番茄、烟草等作物的遗传转化研发。而本研究使用的CRISPR-Cas9基因编辑技术构建小麦突变体,这正是我们公司(青岛吉农基因科技有限公司)擅长的领域!

转化材料:以小麦品种KN199为受体,成功构建了Tabzip45-4B敲除突变体和过表达株系。

  编辑效率:通过多靶点设计,获得多个独立转化事件,验证了基因功能。

技术平台:研究还涉及载体构建、农杆菌介导转化、转基因鉴定、田间试验等全流程,与我们公司提供的服务高度契合。

 

吉农基因可提供类似服务,助力科研单位和种业公司快速验证基因功能,加速育种进程!