


一、 研究背景:提升光合效率是作物增产的关键
作为全球50%人口的主粮,水稻是典型的C₃作物,其光合效率远低于C₄作物(如玉米),且在高温、强光等环境下易出现光合损伤。此前研究表明,过表达玉米GLK转录因子可诱导水稻形成“原克兰兹结构”(C₄光合的初始形态),但水稻本土GLK基因(OsGLK1)的激活却无法在绿色组织中增强光合性状——这暗示水稻中存在抑制GLK功能的“负调控因子”。
同时,光系统 I(PSI)的稳定组装依赖叶绿体定位的分子伴侣OsPSA2,其功能异常会直接导致光合效率下降。因此,寻找并调控“抑制光合关键因子功能”的负调控基因,成为突破水稻光合效率瓶颈的关键方向。本研究正是聚焦于这一目标,锁定了OsPEL(水稻光下伪黄化微蛋白)家族。

二、核心发现:三重敲除OsPEL基因,实现“表型-机制-功能”的全面突破
通过CRISPR/Cas9构建OsPEL1/2/3三重敲除株系(Ospel1,2,3),对比野生型(NT)和过表达株系(OsPEL1-OE),发现显著表型差异:
1)绿色性状:Ospel1,2,3 叶片、颖花、穗部均呈深绿色,叶绿素含量提升48%-79%;OsPEL1-OE 则呈浅绿,叶绿素含量仅为野生型的 50%。
2)产量性状:Ospel1,2,3单株总粒重提升30.9%、百粒重提升5.3%、生物量提升20%;OsPEL1-OE总粒重下降47%、结实率下降19.8%。

C₄作物的关键特征是“维管束鞘细胞(BS)叶绿体富集”,而野生型水稻(C₃作物)的 BS 细胞叶绿体极少。通过超分辨显微镜(SRM)、透射电镜(TEM)观察发现:
1)Ospel1,2,3的BS细胞中叶绿素荧光显著增强,叶绿体数量提升3.6 倍,类囊体膜层数增加,且淀粉颗粒积累更多。
2)这一结构与 C₄作物的“原克兰兹结构”高度相似,为水稻向C₄光合模式转变提供了解剖学基础。

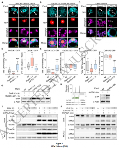
通过酵母双杂交(Y2H)、3D蛋白建模、亚细胞定位分析,揭示OsPEL的作用机制:
抑制OsGLK1(转录因子):OsPEL1 结合OsGLK1的C端37个氨基酸核心区域,阻止其进入细胞核(正常需在核内启动光合基因表达),导致Ospel1,2,3 核内OsGLK1含量提升 52%。
抑制OsPSA2(分子伴侣):OsPEL1结合OsPSA2的C端锌指结构域,阻止其进入叶绿体(正常需在叶绿体中参与 PSI 组装),导致 OsPEL1-OE 叶绿体中 OsPSA2 含量仅为野生型的 40%。

光合效率:在高光照(1600 PPFD)下,Ospel1,2,3 的 CO₂同化效率提升 36%;在高 CO₂(1000 ppm)下,光合速率比野生型高 10%。
抗逆性:Ospel1,2,3 的 ROS(活性氧)清除能力提升 1.2-1.6 倍(通过 DPPH、ABTS assay 测定),解决了此前光合增强突变体 “高光照下易损伤” 的问题。
三、研究意义
理论意义:揭示 OsPEL 家族作为 “双靶点负调控因子” 的作用机制,完善了 “叶绿体发育-光合效率-产量” 的调控网络;同时,证明 C₃作物可通过编辑本土基因诱导 “类 C₄结构”,为光合模式进化研究提供新视角。
应用意义:相比传统“过表达外源基因”的策略,编辑本土OsPEL基因具有“遗传稳定、无负面性状、适配性广”的优势,降低了基因工程育种的难度和风险,为水稻及其他 C₃作物(如小麦、大麦)的光合改良提供了“可复制”的技术路径。

四、总结
敲除水稻 OsPEL1/2/3三个基因,相当于“移除”了光合系统的“双重刹车”—— 既通过解除对OsGLK1和OsPSA2的抑制,让叶片更绿、光合更强(形成类 C₄结构),又直接推动产量提升30%,为C₃作物光合改良与C₄水稻研发提供了“一箭双雕”的关键解决方案。
通过上述文章我们能够进一步了解到,遗传转化对科学研究的重要性和巨大意义。吉农基因是一家专注于植物遗传转化业务的公司,服务覆盖大豆、小麦、烟草、玉米、番茄等十几种物种,如果您有相关遗传转化需求,欢迎联系我们。
